Otevřeno : Pondělí až Pátek od 8:00 do 15:00 hodin

Abekodentist CAD/CAM zubní laboratoř ABEKO DENTIST
Bratranců Veverkových 2874/1, Karviná – Hranice
Telefon +420 596 365 200 +420 596 365 200
  • O nás
    • Náš Tým
  • Služby
    • Celokeramika
    • Metalokeramika
    • Pružné protézy Deflex
    • Ortodoncie
    • Estetické fasety (veneers)
    • Přeprava zakázek
  • Naše práce
  • Kontakt

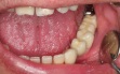
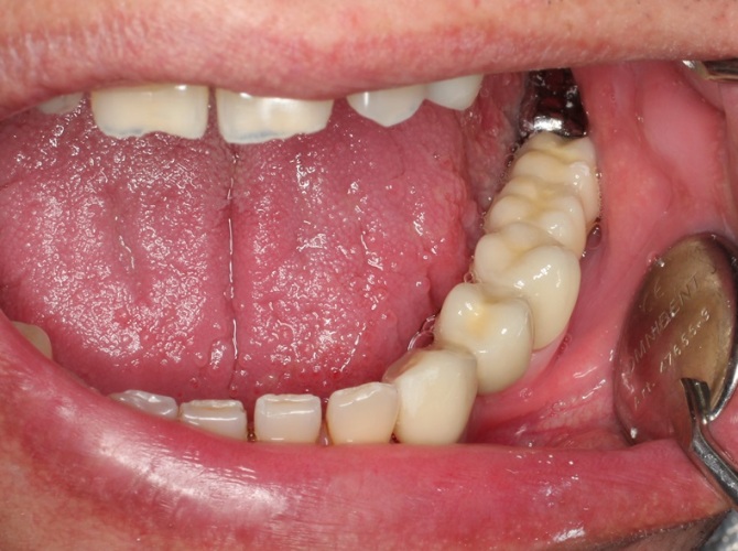
Případ 1: Metalokeramický můstek

  • Abekodentist
  • Naše práce
  • Případ 1: Metalokeramický můstek
  • dolni_mustek_33-38_okluze
  • IMG_9165
  • dolni_mustek_33-38_okluze
  • IMG_9165

Případ 1: Metalokeramický můstek

Metalokeramika

Pacient středního věku po ztrátě tří zubů v postranním úseku dolní čelisti. Pilířový druhý třenový zub byl navíc rotován, což jsme vyřešili rotací korunky uprostřed můstku, čímž se dostatečně napodobila původní situace. Po půlroce jsme téměř identickou situaci řešili i na protější straně.
Ošetřující lékař: MUDr. Ondřej Kolínek

 

Related Gallery Items

Detailní záběr na hotovou práci na pracovním modelu.

Případ 9: Metalokeramický můstek v dolní čelisti II.

Metalokeramika
Hotový můstek po nacementování v ústech pacienta.

Případ 3: Metalokeramický můstek

Metalokeramika

Případ 21: Metalokeramické fasetované můstky v horní čelisti

Metalokeramika
Hotová práce na pracovním modelu.

Případ 14: Metalokeramické korunky

Metalokeramika
Populární
Nejnovější
Komentáře
CAD/CAM zubní laboratoř ABEKO DENTIST
10 prosince, 2014
CAD/CAM zubní laboratoř ABEKO DENTIST
10 prosince, 2014
Listopad 2025
Po Út St Čt Pá So Ne
 12
3456789
10111213141516
17181920212223
24252627282930
« Bře    

Nejnovější příspěvky

  • Přijmeme do našeho týmu laboratoře
  • Hledáme novou posilu do našeho týmu :-)
  • CAD/CAM zubní laboratoř ABEKO DENTIST

Štítky

CAD/CAM kvalita ortodoncie protetické náhrady technologie

Copyright 2025. All Rights Reserved by Abekodentist