Otevřeno : Pondělí až Pátek od 8:00 do 15:00 hodin

Abekodentist CAD/CAM zubní laboratoř ABEKO DENTIST
Bratranců Veverkových 2874/1, Karviná – Hranice
Telefon +420 596 365 200 +420 596 365 200
  • O nás
    • Náš Tým
  • Služby
    • Celokeramika
    • Metalokeramika
    • Pružné protézy Deflex
    • Ortodoncie
    • Estetické fasety (veneers)
    • Přeprava zakázek
  • Naše práce
  • Kontakt

Případ 23: Celokeramické korunky

  • Abekodentist
  • Naše práce
  • Případ 23: Celokeramické korunky

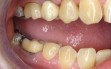
Případ 23: Celokeramické korunky

Celokeramika

Původně byly v plánu metalokeramické korunky, avšak pacient se nakonec rozhodl pro lithium disilikátovou variantu. Ostatně – proč ne, když měl možnost mít za prakticky tutéž částku o mnoho více muziky. Pro porovnání optického rozdílu mezi celokeramikou a metalokeramikou může posloužit starší korunka, která se nachází mezi nimi (pozn.: nic jiného na fotografii není naše práce).

Ošetřující lékař: MUDr. Roman Michejda

Related Gallery Items

Případ 22: Celokeramické korunky na implantátech

Celokeramika
Hotová korunka po nacementování.

Případ 10: Celokeramická korunka na dolní třenový zub

Celokeramika

Případ 24: Estetické fasety a celokeramické korunky

Celokeramika
Hotový můstek po nacementování.

Případ 4: Celokeramický můstek

Celokeramika
Populární
Nejnovější
Komentáře
CAD/CAM zubní laboratoř ABEKO DENTIST
10 prosince, 2014
CAD/CAM zubní laboratoř ABEKO DENTIST
10 prosince, 2014
Listopad 2025
Po Út St Čt Pá So Ne
 12
3456789
10111213141516
17181920212223
24252627282930
« Bře    

Nejnovější příspěvky

  • Přijmeme do našeho týmu laboratoře
  • Hledáme novou posilu do našeho týmu :-)
  • CAD/CAM zubní laboratoř ABEKO DENTIST

Štítky

CAD/CAM kvalita ortodoncie protetické náhrady technologie

Copyright 2025. All Rights Reserved by Abekodentist