Otevřeno : Pondělí až Pátek od 8:00 do 15:00 hodin

Abekodentist CAD/CAM zubní laboratoř ABEKO DENTIST
Bratranců Veverkových 2874/1, Karviná – Hranice
Telefon +420 596 365 200 +420 596 365 200
  • O nás
    • Náš Tým
  • Služby
    • Celokeramika
    • Metalokeramika
    • Pružné protézy Deflex
    • Ortodoncie
    • Estetické fasety (veneers)
    • Přeprava zakázek
  • Naše práce
  • Kontakt

Případ 8: Rekonstrukce horních řezáků

  • Abekodentist
  • Naše práce
  • Případ 8: Rekonstrukce horních řezáků
  • 2014-11-10-13.18.39
  • 2014-09-01 12.06.22-1
  • 2014-11-10-13.18.39
  • 2014-09-01 12.06.22-1

Případ 8: Rekonstrukce horních řezáků

Celokeramika

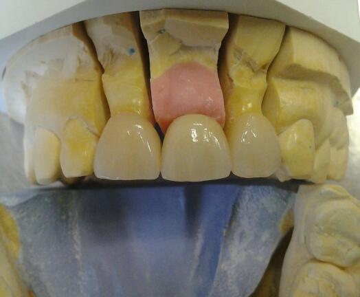
Pacient přišel o horní velký řezák. Jelikož bylo zapotřebí ošetřit i sousední řezáky, avšak pacient nehleděl na nákladnost řešení, od nejpoužívanějšího řešení v podobě tříčlenného můstku jsme upustili a namísto toho jsme zhotovili tři celokeramické solo korunky. Pravý horní velký řezák a levý malý horní řezák byly cementovány na vlastní nabroušené zuby, pravý horní velký řezák pak na titanový abutment našroubovaný na zubní implantát.
Ošetřující lékař: MDDr. Bc. František Střída – WEBE-DENTI, s.r.o.

Related Gallery Items

Hotové korunky na pracovním modelu.

Případ 5: Celokeramické korunky

Celokeramika

Případ 25: Celokeramická korunka na horní velký řezák

Celokeramika

Případ 22: Celokeramické korunky na implantátech

Celokeramika
Výsledná práce po nacementování v ústech pacienta.

Případ 7: Rekonstrukce horních frontálních zubů

Celokeramika
Populární
Nejnovější
Komentáře
CAD/CAM zubní laboratoř ABEKO DENTIST
10 prosince, 2014
CAD/CAM zubní laboratoř ABEKO DENTIST
10 prosince, 2014
Listopad 2025
Po Út St Čt Pá So Ne
 12
3456789
10111213141516
17181920212223
24252627282930
« Bře    

Nejnovější příspěvky

  • Přijmeme do našeho týmu laboratoře
  • Hledáme novou posilu do našeho týmu :-)
  • CAD/CAM zubní laboratoř ABEKO DENTIST

Štítky

CAD/CAM kvalita ortodoncie protetické náhrady technologie

Copyright 2025. All Rights Reserved by Abekodentist